Georgia teen is thriving at home without a heart

At just 19 years old, Andrew Miles is living at home without a human heart, relying instead on an innovative artificial heart procedure developed by an Emory Healthcare surgeon.
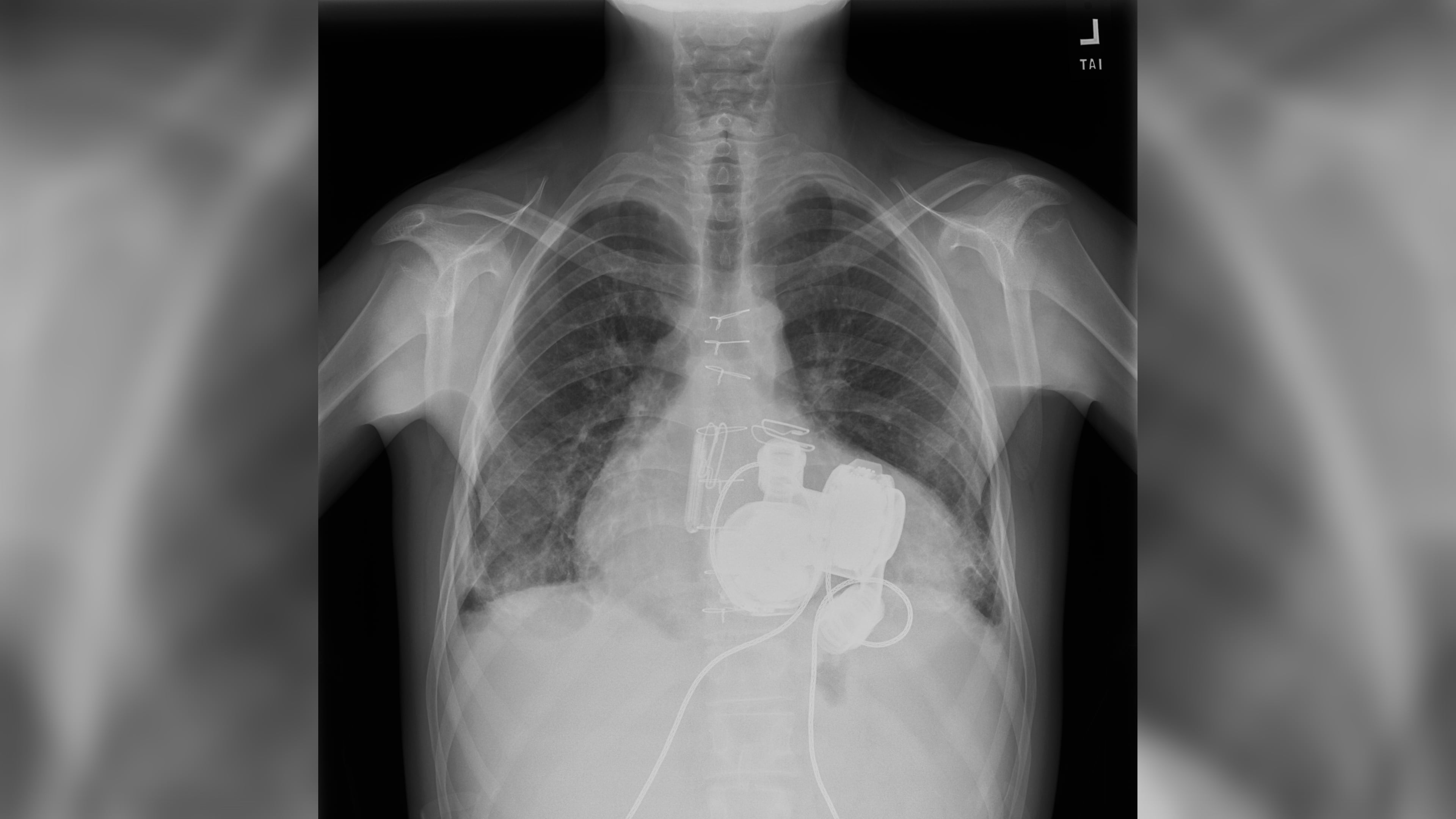
The Savannah teen is believed to be only the second person in the country to survive outside a hospital with this type of total artificial heart, which temporarily replaces the human heart with a mechanical circulatory support system.
Miles was born with congenital aortic valve stenosis, a common heart defect in which a valve to the heart is clogged, preventing it from circulating blood properly throughout the body, explained his cardiothoracic surgeon, Dr. Mani Daneshmand.
“I would get tired really fast doing anything active, like playing sports outside,” Miles said about his condition. “I tried to live as normal as I could.”

Initially, he took medication for the heart defect, but when he was 12, he went into cardiac arrest while playing soccer. His mom and a family friend had to resuscitate him. Shortly afterward, he underwent a Ross-Konno procedure at Children’s Healthcare of Atlanta in which a surgeon replaced the clogged valve with a human valve from an organ donor.
At 14, he received a pacemaker at Children’s, but Miles’ heart became weaker over the years, leading to end-stage cardiomyopathy — the most severe form of heart disease. He had to be on maximum life support, a portable heart-lung machine keeping him alive, for about a month at Emory until his recent artificial heart surgery, Daneshmand said.
Patients like Miles, who have advanced heart failure affecting both ventricles — the heart’s main pumping chambers — have few treatment options, the Emory doctor explained. Mechanical heart pumps can bridge the gap to help improve a patient’s heart function until they’re healthy enough for a transplant.
To address this need, Daneshmand designed a procedure called “HeartMate 6,” which combines two HeartMate 3 pumps, mechanically circulatory support devices made by Abbott Health, to support both sides of the heart simultaneously.
This summer, soon after Miles graduated from high school, Daneshmand implanted the two HeartMate 3 devices to support both the left and right sides of his heart. Instead of a temporary procedure that leaves the heart structures intact, Daneshmand’s total artificial heart procedure removes some of the ventricle before inserting the ventricular assist device.
He believes the artificial heart configuration works better than the temporary procedure because there’s a reduced chance of failure from stagnating blood causing a clot, which is common if the right ventricle isn’t removed.
The HeartMate 6 has since been used or adapted at other centers across the country, after Daneshmand developed it in 2020 while he was a surgeon at Duke University Medical Center.
Some patients spend months in the hospital waiting for a transplant, but Miles was well enough to go home with the device and wait for a donor there, the doctor said. He added that a transplant is the ultimate goal for Miles, freeing him from the complexity of maintaining the HeartMate 6.

“In general, it’s a lot more liberating for someone to have a heart transplant he can maintain with medication as opposed to having two artificial pumps with two (power cords) that come out of his body that he needs to maintain and keep clean and keep sterile and four battery packs he needs to care for,” Daneshmand said.
“I can’t say for certain, but, potentially, the duration of his life will improve, and hopefully the quality of his life will improve.”
Daneshmand’s experience with the HeartMate 6 procedure, along with research at big medical centers such as Duke and Emory, is helping to improve medical care, said Dr. John Dimarakis, surgical director of heart transplantation and program director of cardiothoracic transplantation at the University of Washington Medical Center in Seattle.
“These publications serve as an important reference for colleagues worldwide, informing and guiding refinements in their clinical practice and supporting ongoing improvements in patient care,” Dimarakis said.
For patients with severe, chronic heart conditions, the procedure offers a rare and meaningful alternative to palliative care, which includes managing symptoms, improving quality of life and offering emotional support.
Miles, meanwhile, tries to stay grounded by taking his health challenges one day at a time.
“I’m just blessed to be here, and I’m just looking forward to the transplant.”
Roni Robbins has been a journalist for nearly four decades. This is her second stint as a freelance reporter for the AJC. She also freelances for Medscape, where she was an editor. Her writing has appeared in WebMD, HuffPost, Forbes, the New York Daily News, BioPharma Dive, MNN, Adweek, Healthline and others. She’s also the author of the award-winning novel, “Hands of Gold: One Man’s Quest to Find the Silver Lining in Misfortune.”
