Global tuberculosis diagnoses rise to a record, but deaths fall, WHO reports

NEW YORK (AP) — The number of people diagnosed with tuberculosis worldwide rose again last year, eclipsing 2023's record total, World Health Organization officials said Wednesday.
About 8.3 million people across the globe were reported as newly diagnosed with TB in 2024. Not all infections are diagnosed and the new numbers represent 78% of the estimated number of people who actually fell ill last year, the WHO noted.
WHO officials see the increase as an indication that screening and treatment are improving after health care disruptions during the COVID-19 pandemic. Globally, the number of deaths caused by TB fell in 2024 to 1.23 million, down from 1.25 million the year before.
U.S. tuberculosis cases continued to rise last year — reaching the highest level in more than a dozen years, according to preliminary data released earlier this year. The vast majority of U.S. TB cases are diagnosed in people born in other countries.
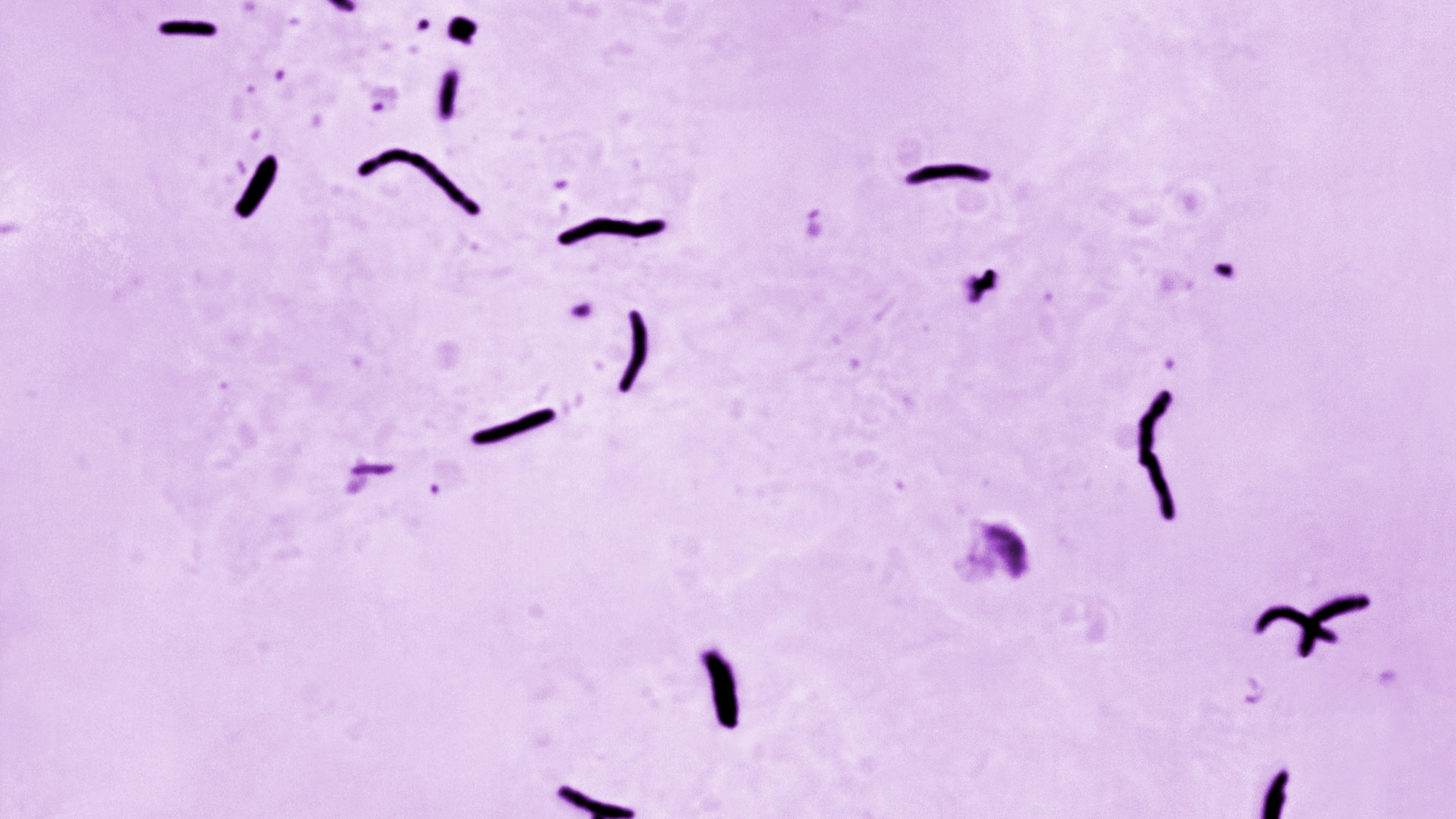
Tuberculosis is caused by bacteria that attack the lungs, and is spread through the air when an infectious person coughs or sneezes. Roughly a quarter of the global population is estimated to have TB, but only a fraction develop symptoms. It can be fatal if not treated, and is one of the top causes of death worldwide.
The WHO releases a TB report every year. The latest is based on data from 184 countries. Funding for fighting the disease was already stagnating, and experts worry about a possible backslide in the battle following recent spending cuts by the U.S. government and other funders.
___
The Associated Press Health and Science Department receives support from the Howard Hughes Medical Institute’s Department of Science Education and the Robert Wood Johnson Foundation. The AP is solely responsible for all content.

