News
Six-month stomach ache solved with surgical removal of the four-inch pen
Woman doesn't remember swallowing pen

Pen in tummy
By Rick Couri
July 7, 2014- Focus shifts to mother of toddler in hot car death
- Graphic video shows transgender woman being attacked
- Police: Teens attack, rob ice cream man
- World's oldest conjoined twins celebrate milestone
- Police: Man disputes DUI, claims dog was driving
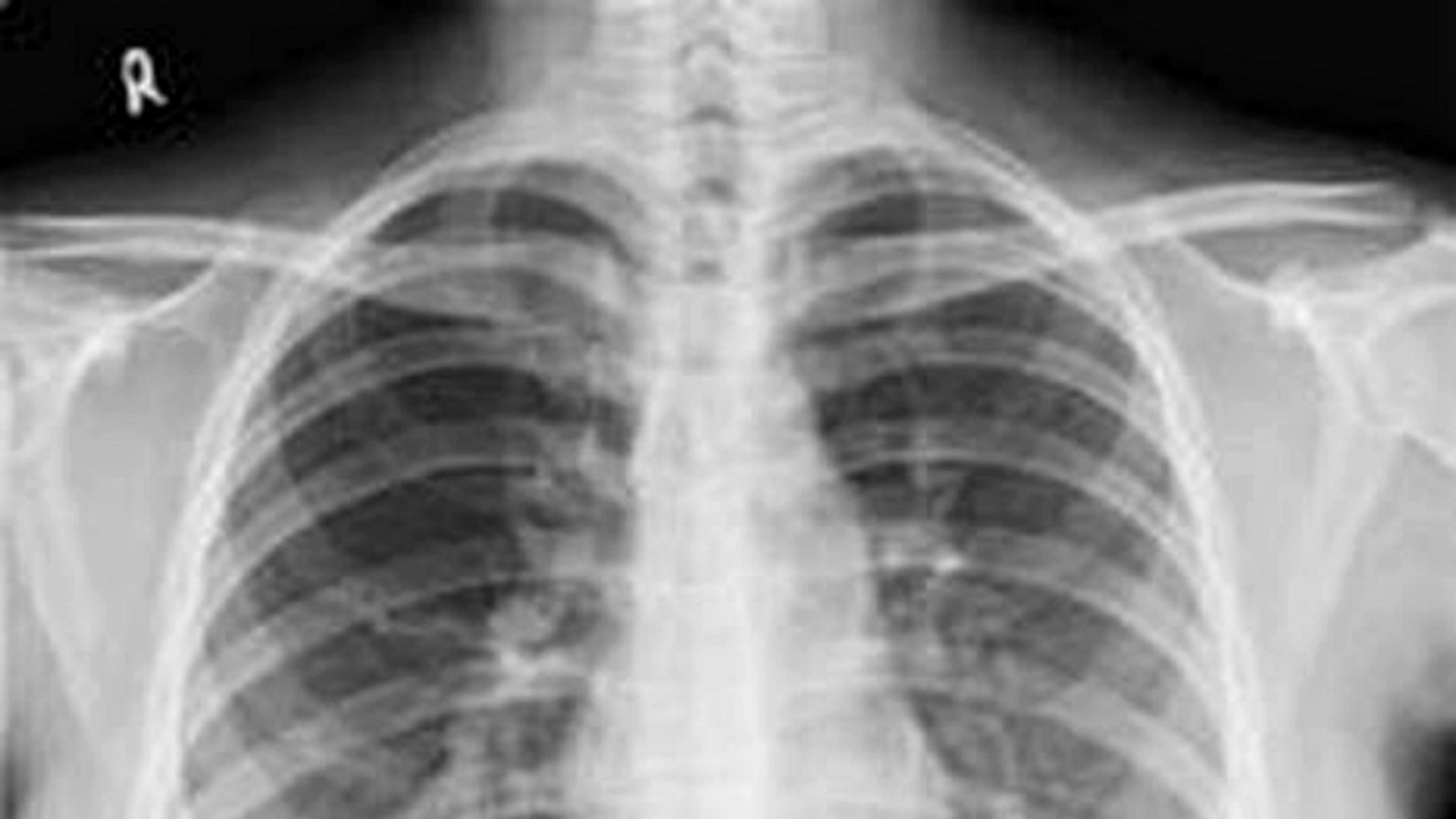
Doctors were stumped by the woman’s stomach ache for more than six months.
It led the patient to other problems, including depression before an endoscopy x-ray turned up the ink pen.
Doctors in Taipei, Taiwan quickly removed the four-inch writing instrument and resolved the problem.
Physicians say if not found, the badly corroded pen could have caused much greater damage, maybe even death.
The 20-year-old claims she doesn’t have any memory of swallowing a pen.
However, she admitted she had a lot to drink after taking test, and it might have happened then.

